曹操为什么总是头痛?(不是高血压)

科技4年前发布 社科兔
360 0 0

  来源:丁香园

  抛开影视、戏剧和小说等文艺作品,单看三曹诗集,曹操不仅是魏晋时期第一位诗人,更是世间头等的诗人。

  他对政治敏感,对人世间的大美更是敏感。仅《短歌行》一篇所透露的孤独与萧索,展示的就是诗人和霸主的双重气质。

  有一出京剧叫《曹操与杨修》,写的是杨修向曹操进谏、被曹操陷害的故事,这是从受伤的文人的角度来看曹操。

  假如我们从医生的角度看《三国志》,又可以将他定位为一名特殊的病人。

  与林黛玉不同,曹操不是虚构的人物。但想透过历史的迷雾,看清楚这位治世能臣、乱世奸雄所罹患的疾病,比看清他的历史面孔,还要困难。

  我们先通过《三国志》、《三国演义》、《宋书》等作品总结一下曹操先生的病史特点。

电视剧《三国》视频截图电视剧《三国》视频截图

  曹操病史

  患者曹操,老年男性,起病急、病程长(持续 20 余年)、病情重,反复发作。

  建安五年(时年 40 岁左右),患者开始反复出现难治性头痛,是否具备周期性、节律性未知。常伴幻听、幻视。症状多于劳累、情绪激动等状态下出现。

  当地医生华佗诊断为‘头风’,予以针灸等治疗可缓解,每次缓解后不残留肢体及语言功能障碍。《三国志·华佗传》记载:‘太祖苦头风,每发,心乱目眩,佗针鬲,随手而差。’

  既往体健,赤壁之战前后有‘瘟疫’接触史。不吸烟,常饮酒,酒量不详(当时皆是低度酒)。无放射及毒物接触史。有被迫害妄想症,睡前总念叨‘总有刁民想害朕’。

  早婚早育,育有 25 个儿子、6 个女儿(老衲佩服);无明确家族遗传病史。

  初步诊断:慢性头痛原因待查。

  鉴别诊断:①高血压病  ②颅内占位  ③颅内感染  ④慢性闭角型青光眼  ⑤功能性头痛

  诊疗方案:针灸、‘当归汤’加减,必要时利斧劈开头颅进行外科手术。

  鉴别诊断

  1、高血压病

  《医林绳墨》载:浅而近者,名曰‘头痛’;深而远者,名曰‘头风’。所以,头风是一种长期反复发作的剧烈头痛。

  不可否认,曹操的症状与恶性高血压之间是有雷同的。尤其嗜铬细胞瘤,其所致阵发性血压波动,完全可以导致头痛、目眩等症状。

  但假以时日,也会导致儿茶酚胺心肌病、急进性肾功能衰竭。若是该病,在当时医疗条件下,存活 20 多年是有难度的。

 嗜铬细胞瘤症状与诊断思维树 嗜铬细胞瘤症状与诊断思维树

  曹先生一生颠沛,东征西讨,且弓马娴熟,身体倍棒(一口气生 30 多个孩子),吃嘛嘛香,不像是被恶性高血压折磨过的身子骨。

  原发性高血压一般没有症状,或缺乏特异性。很少有高血压导致 20 余年反复头痛、不选择降压治疗而安稳度过的个案。

  比如罗斯福总统收缩压总是大于 200mmHg,但因为没有症状,当时没人意识到血压需要降低。他的医生甚至还对外宣称‘总统身体棒棒哒’,几个月后罗总统死于中风。

  所以,曹操先生‘可能’患有高血压。毕竟他持续性劳心劳力,间断性气急败坏,作为文艺工作者,酒色方面也丝毫不含糊,这都是高血压危险因素。

  但正如前面所述,他没有高血压靶器官损害的其他证据,临床症状也不完全符合。除非没有其他更有说服力的疾病,高血压不作为第一诊断。

  2、颅内占位

  脑瘤有良恶性之分,恶性发展快,病程短,神经系统症状逐渐出现,并且进行性加重,带瘤存活 20 余年的可能性微乎其微。

脑胶质瘤脑胶质瘤

  良性发展慢,病程长,患者可以没任何症状,也可以随着肿瘤生长,影响到脑部血液循环,阻塞脑脊液的循环通路,造成颅内积水或脑水肿,甚至会发生脑疝,危及生命。

  虽然良性肿瘤存活期可能大于 20 年,但症状应进行性加重,不会以反复发作、不残留神经功能障碍为表现。

  同样,我们也不能以华佗想要用斧子砍开头颅进行手术,便断定曹操先生一定就‘脑壳有包’。

 脑膜瘤 脑膜瘤

  3、颅内感染

  曹操与《伤寒杂病论》的作者张仲景,同属东汉末年。后者撰写医书时,正好是瘟疫横行霸道的年代。史书记录这场瘟疫:自中原酷乱,至于建安,数十年间生民殆尽。比至小康,皆百死之余耳。

  吴宇森电影《赤壁》中,曹操兵士死于这场流行性出血热的不计其数,所以他们把尸体顺江漂流,并取了一个带恐怖色彩的名字叫‘送鬼兵’,以达到借助尸体对东吴进行‘细菌战’之目的。

曹操‘送鬼兵’(电影《赤壁》截图)曹操‘送鬼兵’(电影《赤壁》截图)

  虽然曹操有疫区接触史,但连续 20 余年都受传染病侵害,却轻松活下来的概率几乎为零。即便他不是流行性出血热,在没有抗生素的年代,流行性脑脊髓膜炎、化脓性脑膜炎死亡率极高,且症状与之完全不符。

  4、慢性闭角型青光眼

  慢性闭角型青光眼是原发性青光眼的一种,大都是双眼发病,且都具有反复发作的特点。

  该病受情绪影响很大,当患者情绪剧烈波动时,血管运动神经紊乱,使结膜充血水肿;交感神经兴奋,使瞳孔散大。这些改变均可使虹膜根部拥向周边、阻塞房角,直接导致眼压剧增。患者会产生头痛、目眩的症状。

开角及闭角型青光眼开角及闭角型青光眼

  所以,很多眼科医生认为曹操患有闭角型青光眼,但他们忽视了该病可能令人失明,却不会致命。若从一元论角度而言,这一推断亦不能成立。

  5、功能性头痛

  以上所说,有的是器质性头痛的范畴,有的是非神经系统疾病导致的头痛。

  但从发作的病程长达 20 年,且反复发作的特点看,患者症状更符合功能性头痛。这是一大类疾病统称,包括偏头痛、紧张型头痛、丛集性头痛等,其病因和病理机理都不甚明确。而且这些头痛可能因情绪诱发,针灸等物理治疗确实有效。疼痛程度大小不一,严重者会影响睡眠,甚至在疼痛时出现幻听。

  肯定有人要说,即便功能性头痛临床表现与曹操神似,但是这类疾病却不致命,若用一元论解释,肯定说不通。

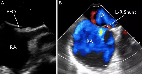
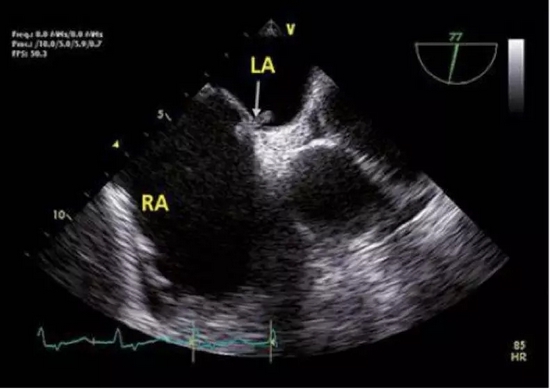
  列位看官,你们肯定忽视了一种心脏疾病所致的偏头痛:卵圆孔未闭。

  卵圆孔其实是心房原发隔与继发隔之间的一个缝隙。由于这个解剖结构的存在,当情绪激动等其他原因导致胸腔内压力过高时,可能会导致心房之间出现右向左的分流。因静脉血中化学物质如 5-羟色胺等血管活性物质较多,在分流后会导致脑血管扩张出现偏头痛。

  所以在临床中会有一些不明原因偏头痛的患者,能够卵圆孔未闭封堵中获益。

 卵圆孔未闭,一般是左向右分流,在右心压力升高时,可出现右向左分流 卵圆孔未闭,一般是左向右分流,在右心压力升高时,可出现右向左分流

卵圆孔处的骑跨血栓卵圆孔处的骑跨血栓

  除功能性头痛,卵圆孔未闭更大的潜在风险,是导致矛盾栓塞。即来自下肢深静脉或右心系统的血栓,通过卵圆孔进入左心系统,继而导致外周动脉尤其是脑血管栓塞。

  死亡原因分析:

  建安二十五年正月(公元 220 年),曹操长途跋涉,班师回朝。因长时间鞍马劳顿,深静脉血栓形成并脱落,通过开放的卵圆孔暗度陈仓,最终栓塞在大脑中动脉,随即病逝,享年 66 岁。

  是年十月,魏王曹丕取代汉朝,自立为皇帝,国号魏,追尊曹操为武皇帝,庙号太祖。

  写在最后

  此前我写文章分析过林黛玉之死,后来受葛均波院士提议,东方心脏病学大会还进行了一场别开生面的名著医案辩论赛,起到了很好的科普效果。

  同样的,因为资料的缺乏,更没有考古学的证据支持,曹操之死的讨论,也只是基于现代诊断学、以一元论为准则进行的恰当推理。

  《唐人街探案》里面说的好:当排除了所有可能,最后剩下的那个不管多么不可思议,都是答案。

  大胆的假设,小心的求证,胡适提出的这个做学问准则,可能也是医生读《三国志》的乐趣之一。

© 版权声明

相关文章

暂无评论

none
暂无评论...